15 rue Carnot, 51000 Châlons en Champagne
+33 3 26 65 17 83
Cabinet Dentaire des Drs SEBBAG et BOCQUET-SEBBAG
Cabinet dentaire à Châlons en Champagne Implantologie | Parodontologie | Esthétique dentaire
15 rue Carnot, 51000 Châlons en Champagne
+33 3 26 65 17 83
Cabinet Dentaire des Drs SEBBAG et BOCQUET-SEBBAG
Cabinet dentaire à Châlons en Champagne Implantologie | Parodontologie | Esthétique dentaire

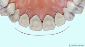
Fil de contention


video-play-icon

Création par Webdentiste

Connexion